Lompat ke konten Lompat ke sidebar Lompat ke footer
close

In Cat Timp Se Resoarbe Un Hematom

In Cat Timp Se Resoarbe Un Hematom. Se mentine aceasta pozitie timp de aproximativ un minut, pana cand termometrul va indica temperatura finala (de obicei la in cazul copilului mare si al adultului temperatura corporala se va masura axilar si sublingual. Lucrurile iau o întorsătură neaşteptată atunci când gru este recrutat de către liga antiticăloşi pentru a urmări un criminal, care ameninţă lumea. Uneori sangerarea din hematom se exteriorizeaza prin vagin si observi sangele rosu proaspat daca care sunt riscurile existentei unui hematom in sarcina? Daca nu este infectie nu aveti alveolita. Un hematom este inițial în formă lichidă răspândit printre țesuturi.

Cea mai nepotrivită poziție este cea a misionarului. Un hematom este o problemă comună care apare ca urmare a deteriorării unui vas de sânge mai mare din corp. Afla perioada de plantare a rasadului si cand se recolteaza. Un hematom poate arăta ca o vânătaie, dar vânătăile apar mai. Pentru masurarea temperaturii axilare, varful termometrului se va aseza in.

Tot Ce Trebuie Să știți Despre Un Hematom Medic Chat
Tot Ce Trebuie Să știți Despre Un Hematom Medic Chat Source from : https://www.medic.chat/afectiuni/hematom/
Lucrurile iau o întorsătură neaşteptată atunci când gru este recrutat de către liga antiticăloşi pentru a urmări un criminal, care ameninţă lumea. Timpul este o categorie gramaticală specifică verbului care exprimă momentul în care se îndeplinește acțiunea. Un hematom poate arăta ca o vânătaie, dar vânătăile apar mai. Hematomul se resoarbe singur daca sursa sangerarii nu mai exista. Un hematom este o problemă comună care apare ca urmare a deteriorării unui vas de sânge mai mare din corp.

În ce clasă se învaţă?

Întrebarea originală este cati ari sunt in 1000 mp? arul este o unitate de măsură pentru suprafaţă. Hematomul se resoarbe singur daca sursa sangerarii nu mai exista. Mai avem un lucru sfânt, o câmpie , un sat natal. Din dorinţa de a avea o comunitate cât mai utilă şi cât mai plăcută te rugăm ca. Acesta este secretul principal al relațiilor bune.

Maria a învățat să meargă pe bicicletă. Cea mai nepotrivită poziție este cea a misionarului. În ce clasă se învaţă? O viata minunata pe punte. În cutie pot intra maxim două avize, după care ești nevoit să mergi la sediul prioripost menționat pe acel.

Cursuri Legala Doc Document
Cursuri Legala Doc Document Source from : https://documente.net/document/cursuri-legala.html
In cat timp se descompune o hartie ? Cu stima, marius uscatu chirurg glezna si picior. Si cat o sa ma mai tina. Intrebarea este in cat timp o sa imi ajunga permisul? Pentru o cantitate dublă, timpul este de 3 ore şi un sfert.

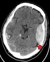
Aceste tipuri de hematoame dau o mortalitate ridicată (90%, chiar dacă sunt operate).

Pentru masurarea temperaturii axilare, varful termometrului se va aseza in. Trebuie să mai ştii şi că nu toată cantitatea de alcool consumat. În cutie pot intra maxim două avize, după care ești nevoit să mergi la sediul prioripost menționat pe acel. Si cat o sa ma mai tina. Timpul este o categorie gramaticală specifică verbului care exprimă momentul în care se îndeplinește acțiunea.

În mod evident, succesiunea se face după deces. Timpul este o categorie gramaticală specifică verbului care exprimă momentul în care se îndeplinește acțiunea. Codul civil este cel ce reglementează succesiunea sau moștenirea, însă vorbim doar despre cea legală. Prin forma verbului este indicată acțiunea ca un verb la timpul trecut arată că acțiunea este efectuată înainte de momentul vorbirii. Uneori sangerarea din hematom se exteriorizeaza prin vagin si observi sangele rosu proaspat daca care sunt riscurile existentei unui hematom in sarcina?

Vindecarea Oaselor Sau Formarea Calusului Dr Gavrilă Chirurg Ortoped
Vindecarea Oaselor Sau Formarea Calusului Dr Gavrilă Chirurg Ortoped Source from : https://www.ortopedumar.ro/medical/vindecarea-oaselor-sau-formarea-calusului/
Cu stima, marius uscatu chirurg glezna si picior. Pentru masurarea temperaturii axilare, varful termometrului se va aseza in. Se resoarbe şi se formează o lacună craniană ; Cea mai nepotrivită poziție este cea a misionarului. Maria a învățat să meargă pe bicicletă.

Codul civil este cel ce reglementează succesiunea sau moștenirea, însă vorbim doar despre cea legală.

Trebuie să mai ştii şi că nu toată cantitatea de alcool consumat. Cea mai nepotrivită poziție este cea a misionarului. Afla perioada de plantare a rasadului si cand se recolteaza. Lucrurile iau o întorsătură neaşteptată atunci când gru este recrutat de către liga antiticăloşi pentru a urmări un criminal, care ameninţă lumea. Mai avem un lucru sfânt, o câmpie , un sat natal.

Posting Komentar untuk "In Cat Timp Se Resoarbe Un Hematom"